ひどい虫歯はどう治療する?治療法と費用、予防法を解説!

公開日:

こんにちは。東京都中央区日本橋にある歯医者「ゆずり葉歯科」です。

ひどい虫歯で歯が破壊されるイメージ

虫歯は誰にでも起こりうる身近な歯の病気ですが、放置すると進行し、抜歯や高額な治療費が発生するケースもあります。気づかないうちに進行することも多く、歯の内部や神経まで達するひどい虫歯になると治療が複雑化します。

この記事では、ひどい虫歯の治療法や費用、虫歯がひどくなるのを予防する方法についてわかりやすく解説します。

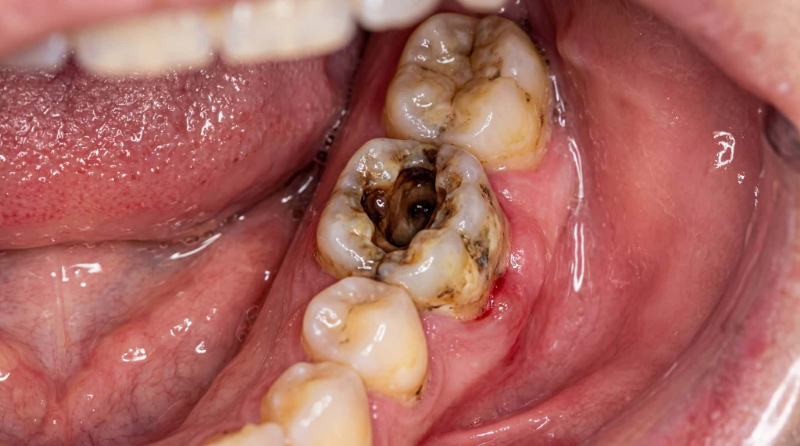
ひどい虫歯とは

ひどい虫歯になった奥歯

ひどい虫歯とは、一般的に虫歯が進行して歯の表面だけでなく内部まで侵食された状態を指します。初期段階では歯の表面のエナメル質が溶けて小さな穴ができる程度ですが、放置すると象牙質、さらにその奥にある神経(歯髄)にまで達します。

ここまで進行すると、冷たいものや甘いものを口にしたときに強くしみた理、何もしていなくてもズキズキとした痛みを感じたりするようになります。

また、虫歯が進行して顎の骨にまで炎症が広がると、顔の腫れや発熱、倦怠感など、全身に悪影響を及ぼすこともあります。重症化を防ぐためにも、早めの受診と症状が軽いうちからの対処が重要です。

ひどい虫歯はどう治療する?

ひどい虫歯の治療の1つである根管治療のイメージ

ひどい虫歯の治療法は、その進行の程度に応じて異なります。虫歯が歯髄まで進行すると、鋭い痛みや腫れといった症状が現れ、日常生活に支障をきたすこともあります。このような状態では、一般的な虫歯治療では対応できず、より専門的な処置が必要になります。

ここでは、進行した虫歯に対して行われる代表的な治療法を紹介します。

神経を取る治療

虫歯が神経にまで達していると、神経を取り除く根管治療(こんかんちりょう)が必要になります。根管治療とは、歯の内部にある神経や血管が入っている管(根管)をきれいに清掃・消毒し、薬剤を詰めて密閉する処置です。

治療には数回の通院が必要で、処置を丁寧に行うことで再発のリスクを抑えられます。根管治療のあとは、歯を補強するために土台を立て、その上に被せ物を装着します。

抜歯

歯を残すことがどうしても難しい場合、最終的な選択肢として抜歯が検討されます。例えば、虫歯が歯の根の深くまで達し、骨にまで感染が広がっている場合や、歯の破損が激しく修復できない場合には、抜歯が最善の治療と判断されることがあります。

抜歯は避けられるのが理想ですが、状態の悪い歯を無理に残すと他の歯や全身の健康に悪影響を及ぼす可能性があるため、必要な処置といえます。

抜歯後の補綴治療

抜歯後は、歯を補うための治療(補綴治療)が必要になります。主な方法としては、ブリッジ、入れ歯、インプラントがあります。

ブリッジは両隣の歯を削って橋渡しする方法で、入れ歯は取り外し可能な人工の歯です。インプラントは顎の骨に金属のネジを埋め込み、その上に人工の歯を装着する治療法で、もっとも自然な噛む力と見た目を再現できます。インプラントは自由診療で費用は高めですが、安定性が高く長期的に使えるメリットがあります。

歯を失ったままにすると噛み合わせが崩れたり、見た目に影響が出たりするため、できるだけ早く治療することが大切です。

ひどい虫歯を治療する場合にかかる費用

ひどい虫歯の治療にかかる費用を示す計算機

虫歯がひどくなるほど、治療費用も高額になります。ここでは、ケース別に費用の目安をわかりやすくご紹介します。

神経を取る治療の費用

神経にまで達した虫歯に対しては、歯の内部を清掃・消毒する根管治療(こんかんちりょう)が行われます。保険適用の場合、治療にかかる費用の目安は1本あたりおおよそ5,000円〜1万5,000円程度です。

一方で、より精密な治療を希望し、マイクロスコープや特殊な機器を使用する自由診療を選んだ場合、1本あたり5万円〜15万円程度になることもあります。まずは、ご自身の希望や状態に合った治療方法を、歯科医師と相談することが大切です。

抜歯の費用

虫歯が重度に進行し、歯を保存できないと判断された場合、抜歯が必要になります。抜歯の費用は症例の難易度や歯の場所によって変わりますが、保険診療3割負担の場合で2,000円〜4,000円程度が一般的です。

ただし、親知らずや根っこが複雑な形をしている歯の抜歯は難易度が高くなるため、追加で費用がかかる可能性もあります。

抜歯後の補綴治療の費用

歯を抜いたあとの補綴治療の費用は、選択する方法によって大きく異なります。

ブリッジを選んだ場合、保険適用のもので5,000円から1万5,000円程度、自由診療であれば10万円から20万円程度が目安となります。ブリッジは固定性が高く、自然な噛み心地が得られますが、隣の健康な歯を削る必要があります。

部分入れ歯を選択した場合、保険適用のもので5,000円から1万円程度、自由診療のものでは10万円から30万円程度が一般的です。見た目や装着感を重視する場合は、より精密な設計の入れ歯を選ぶことで快適性が向上しますが、その分費用も高くなります。

インプラント治療の場合、1本あたり30万円から50万円が相場で、高度な治療技術を要するため費用面ではほかの補綴方法に比べて高額になります。インプラントは骨に直接固定するため、まるで自分の歯のように噛むことができ、審美性にも優れています。歯を削らずに済むという点も魅力です。

それぞれの補綴治療にはメリットとデメリットがあるため、歯科医師と十分に相談をしたうえで、自分に合った方法を選ぶことが大切です。費用の面だけでなく、長期的な機能性や将来的なメンテナンスのしやすさも考慮したうえで検討しましょう。

虫歯がひどくなる前にできること

虫歯がひどくならないように定期的に歯科検診を受けるイメージ

虫歯は進行すると治療が複雑になり、身体的・経済的な負担も大きくなります。しかし、日々の生活のなかで予防に取り組むことで、虫歯の進行を抑えたりそもそも発症を防げたりします。

ここでは、虫歯を悪化させないために実践できる具体的な方法について解説します。

正しい歯磨き習慣の確立

虫歯予防の基本は、毎日の歯磨きを丁寧に行うことです。正しい方法で歯を磨くことで、虫歯の原因となるプラークや食べかすを取り除けるようになります。

歯ブラシは鉛筆を持つように軽く持ち、1本1本の歯に対して小刻みに動かしながら磨きましょう。とくに、歯と歯ぐきの境目や奥歯の溝など、汚れがたまりやすい部分は念入りに磨いてください。

歯ブラシに加えてデンタルフロスや歯間ブラシを使うと、歯と歯の間に残る汚れも除去しやすくなります。また、寝ているあいだは唾液の分泌が減って虫歯が進行しやすくなるため、就寝前の歯磨きはとくに丁寧に行うように心がけましょう。

定期的な歯科検診とクリーニング

虫歯を予防するためには、歯科医院での定期的なチェックが欠かせません。見た目ではわからない初期の虫歯や、磨き残しによる歯垢・歯石の蓄積は、プロの目や器具がなければ見逃されやすいです。定期的に歯科医院を受診することで、虫歯だけでなく歯周病などの早期発見にもつながります。

また、クリーニングによって口の中を清潔に保つことができ、虫歯のリスクを大きく減らせます。歯科医院での定期検診の頻度は、一般的には3ヶ月〜半年に1回が目安とされています。個人のリスクに応じて、通院間隔を調整してもらいましょう。

食習慣の見直しと管理

飲食の内容や回数は、虫歯の進行に大きく影響します。糖分の多いお菓子や清涼飲料水を頻繁に摂ると、口の中が酸性になりやすく、歯の表面が溶けやすくなります。そのため、甘いものは時間を決めて食べ、飲んだ後はなるべく早く口をゆすぐなどの対策が必要です。

また、だらだらと長時間にわたって食べる習慣も、虫歯のリスクを高めるため注意が必要です。

フッ素の活用とセルフケアの強化

虫歯予防には、毎日のセルフケアにフッ素を取り入れることが非常に効果的です。フッ素には歯のエナメル質を強化し、酸に対する抵抗力を高める働きがあります。

フッ素入りの歯磨き粉や洗口液を日常的に使うことで、虫歯の進行を抑えられるでしょう。また、歯ブラシに加えてデンタルフロスや歯間ブラシを使うことで、歯の隙間に残った汚れまでしっかり除去できるので口内をより清潔に保てます。

まとめ

ひどい虫歯を治療して笑顔でくつろぐミドル夫婦

虫歯が進行しひどい状態になると、治療には時間と費用がかかります。神経まで達した虫歯には根管治療が必要になり、抜歯が避けられない場合もあります。

そのため、虫歯は初期の段階で発見・治療することが重要です。日々の丁寧な歯磨きや定期検診、食習慣の見直しなど、予防を意識することで進行を防げます。「ひどい虫歯だから治療が大変かも」と不安に感じている方は、まずは歯科医院で状態をチェックしてもらいましょう。

ひどい虫歯の治療を検討されている方は、東京都中央区日本橋にある歯医者「ゆずり葉歯科」にお気軽にご相談ください。

当院は、子育て中のママとお子様に優しいクリニックを目指して、根管治療や入れ歯治療、ホワイトニング、小児歯科などさまざまな診療を行っています。診療案内ページもぜひご覧ください。

ゆずり葉歯科

TEL 03-6661-0070

〒103-0013 東京都中央区日本橋人形町1-16-1

診療時間
10:00 - 13:00
14:00 - 17:00
【休診日】水曜日・土曜日・日曜日・祝祭日
※祝祭日がある週は水曜日診療となります。

Teech

TOP